アクセス
03-3455-6751
〒108-0073 東京都港区三田1-4-28
三田国際ビルアネックス1階
アクセス
診療時間
03-3455-6751
ホーム
宮田歯科三田診療所について
理事長・スタッフ紹介
診療所概要
診療メニュー
虫歯治療
歯内療法(歯の根の治療)
歯周病治療
予防プログラム
小児歯科
矯正歯科
インプラント
詰め物・被せ物治療
入れ歯
ホワイトニング
歯科ボツリヌス治療
(ボトックス治療)
口腔外科
睡眠歯科
訪問歯科
セカンドオピニオン
症例紹介
料金表
よくある質問
お問い合わせ
宮田歯科三田診療所ブログ
施設基準について
診療メニュー
虫歯治療
歯内療法(歯の根の治療)
歯周病治療
予防プログラム
小児歯科
矯正歯科
インプラント
詰め物・被せ物治療
入れ歯
ホワイトニング
歯科ボツリヌス治療
(ボトックス治療)
口腔外科
睡眠歯科
訪問歯科
セカンドオピニオン
症例紹介
CASES
1 minute walk from Akabanebashi Station. A beautiful mouth is a source of confidence.
We protect your dental health with treatments that look ahead 10 to 20 years.
ホーム
宮田歯科
三田診療所について
理事長・
スタッフ紹介
診療所概要
診療メニュー
虫歯治療
歯内療法(歯の根の治療)
歯周病治療
予防プログラム
小児歯科
矯正歯科
インプラント
詰め物・被せ物治療
入れ歯
ホワイトニング
歯科ボツリヌス治療
(ボトックス治療)
口腔外科
睡眠歯科
訪問歯科
セカンドオピニオン
症例紹介
料金表
よくある質問
ホーム
症例紹介
症例
Case
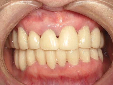
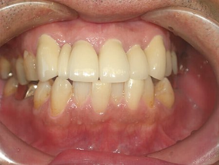
歯科金属アレルギー
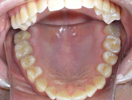
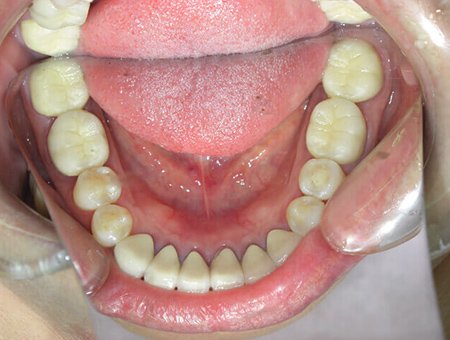
歯並びと噛み合わせ
噛み合わせと審美的治療
噛み合わせがズレたら
診療メニュー
MENU
虫歯治療
歯内療法
(歯の根の治療)
歯周病治療
予防プログラム
小児歯科
矯正歯科
インプラント
詰め物・
被せ物治療
入れ歯
ホワイトニング
歯科ボツリヌス
治療
口腔外科
睡眠歯科
訪問歯科
セカンドオピニオン
お気軽にどうぞ
CONTACT
03-3455-6751
お問い合わせ
24時間WEB予約
お問い合わせ
お問い合わせ
24
時間
WEB
予約
宮田歯科 三田診療所ブログ