噛み合わせと審美的治療の症例紹介 CASE03 1 minute walk from Akabanebashi Station. A beautiful mouth is a source of confidence.
We protect your dental health with treatments that look ahead 10 to 20 years.

噛み合わせと審美的治療 Occlusion and
aesthetic treatment

宮田歯科 三田診療所医長 冨川です。5月に入り大分あたたかくなってきましたが、今日はまた曇り空で肌寒い天気ですね。今週は天気が安定しないみたいですね、、、、、。正直、雨嫌いです。寒いのも。みなさんも急な気温の変化で体調崩さないように気をつけてくださいね!!さてさて、今日は「噛み合わせと審美」の話。

カラム_02 イメージ

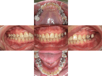
術前はこんな感じでした。主訴は「詰め物、被せ物が取れた」ことと「銀歯を白くしたい」こと、「噛んで痛い、しみるのを治してほしい」というものでした。もともと噛み合わせが低いため、歯牙に負担も多くかかりやすい上に、左上の奥歯がなくなったために左全体、特に臼歯部にかけて負担が増大し、その結果、左上の手前の被せ物が外れ(写真では仮歯になっています)、顎も左に偏移が見られます。正面から見ると向かって右、患者様の左側の歯の方が噛み合わせが低いのがわかりますよね。早速、模型を取って調べます。

カラム_02 イメージ カラム_02 イメージ

この模型を元に、しっかりと噛める、顎に負担のかからない位置で噛み合わせを採り、咬合器という機械につけた状態で理想的な噛み合わせを再現します。ここで患者様と治療のゴールに向けてどういった方法でどこまで治療していくのか、費用や期間、メリット、デメリット、審美的な問題などを再度、ご相談します。いろいろ相談し、仮歯にて最終チェック。そして、治療終了時がこちら。

カラム_02 イメージ

噛み合わせを治すのは大変ですが、痛くなく、しみなく、しっかり噛めて、尚且つ、きれいになっちゃいました。 このような治療でも早ければ3ヶ月から6ヶ月で治すことが可能です。きれいに早く。。まさに院内技工所がある宮田歯科だからできる症例と言えるんじゃないでしょうか。
あとは予防歯科にてメンテナンスです。長く通っていただいております患者様ほど予防歯科は効果を実感されているみたいです。こちらもおすすめです!!歯でお困りのことでしたら何でも結構です。ご相談ください。もちろんご相談だけでも結構です。お気軽にご連絡くださいね。

お気軽にどうぞ CONTACT

24時間WEB予約 お問い合わせ お問い合わせ