噛み合わせがズレたら
If your bite is misaligned

宮田歯科三田診療所 冨川です。1月も早いものでもう半分が過ぎてしまいました。昨日(日曜日)の早朝には都内でも雪が降ったそうですが、、、、、、、、僕は寝ていて知らなかったです(笑)でも寒さはより一層厳しくなったように感じます。風邪のひきやすい季節です。皆様もお身体には十分ご自愛ください。さて、今日は「噛み合わせがズレた」お話。
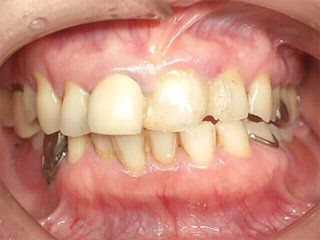
よく見ると歯並びが全体的に右側に傾いているのがわかります。精査の結果、もともとの歯並びの不具合に加え、「入れ歯が合わない、痛い」ことでまったく使用してこなかったことなどから、左右で噛む高さが変わり、顎位に偏位を認め、咬合性外傷を引き起こしている状態でした。
そのためお顔も歪み、肩凝りもひどいとのことでした。そこで精査の結果と合わせて治療方法について、噛み合わせを含めた全顎的な治療が必要であることを説明したところ、今まで歯医者さんに行っても歯周病のためのクリーニングか入れ歯の調整のみで噛み合わせについてはズレていることは指摘を受けたことはあったそうですが、「治す」ということについては説明されたこともなかったようで、諦めていたそうです。
噛み合わせにズレがあることで本来の顎の動きとは異なった動きをしているため、当然歯にも無理な力がかかります。歯周病や義歯の不良、冷水痛や歯の動揺などの症状も逆を言えば噛み合わせを治さない限り治せないと言えます。
しかし、噛み合わせ治療では、当然今までと噛み合わせが変わるために、治療中違和感などが出ることも多く、所謂歯の「リハビリ」が必要になるため、患者様のご協力とご理解が大変重要になってきます。その上、決して簡単な治療ではない上、治療の範囲も大きく治療期間や費用の問題もあるので「痛い所だけ治す」という対症療法を行う先生も多いのは事実です。いろいろな治療の選択肢をあげさせていただいた上で相談しました結果、患者様はやはり「噛み合わせを治したい」とのことでした。そこでまずは仮歯にて噛み合わせがかなり良くなってきました。

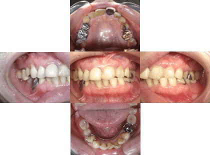
上の写真と比べると上顎と下顎の位置が真っ直ぐになってきているのがわかるかと思います。現在上記のように違和感はあるものの、お口元の歪みや、肩凝りが改善されてきたこともあり経過は良好だと言えます。
また長期間、奥歯で咀嚼できなかったため前歯部へ負担がかかり、動揺している歯が多数ありましたが、それもどうにか揺れが治まってきました!!!これで抜歯する歯もなくなりそうです。そして、噛み合わせを修正した後、歯の形や色、使い勝手、発音の問題などを患者様と一緒に模索していき、ついに完成です。治療前後の写真でどうぞ。


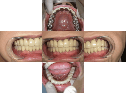
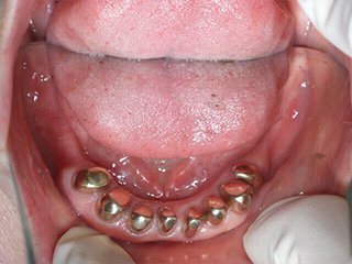
噛み合わせのズレが見た目にも変わったことが分かりますね。その結果、お顔の見た目も歪みがなくなりきれいになり、ひどい肩凝りや頭痛なども改善しました。患者様にとっては痛くなく、また何でも食べられること、人前で自分の口元が見えないか気にしなくて良いことなどが嬉しかったようです。今回は患者様のご希望で「コーヌス義歯」にて作製しました。外すと、、、、、、
こうなっています。特に下顎の義歯については普通に「入れ歯」をいれてるようには見えなくなりました。他にも治療の選択肢はありましたが、患者様ご自身がインプラントに抵抗感があったこともありますが、一番は残存歯牙の中に将来的に多少不安の残る歯牙があることでした。
本来またいつ悪化するかも予測がつかない歯牙については、残すことで他の健全歯に負担をかけたり、治療もここを治して少ししたらそういった不安のある歯が次に悪くなり、結果として年中歯医者さんにかかっているということになりやすいため、抜歯も考慮しなければなりません。ここの部分で「コーヌス義歯」は非常に優れています。
詳しくは「コーヌス義歯」の関連項目も参照してもらいたいのですが、歯牙同士を連結するコーヌス義歯ではその固定歯が、たとえ抜歯になったとしても他の固定歯があるため義歯自体作り直す必要はありません。ただ抜いてそのまま今まで通り義歯をお使いになれます(もちろん1回でたくさんの歯が悪くなってしまうと固定歯の数が減るため難しいのでお手入れはしっかりしていただきますが)。
そういった意味で今回多少不安のある歯があっても患者様の希望通り、ほんとにダメになるまでご自身の歯を使えますし、ダメになってもほとんど治療は必要ない状態になりました。また治療中、歯牙を連結することが出来るため歯周組織の回復が早く、噛み合わせも治せるため歯牙に余計な負担をかけることもなくなります。
現在は噛み合わせも治し、歯にかかっていた無理な力もなくなり、動揺歯もなく、非常に状態はいいのですが、今までにかかってきたダメージにより進行した歯周病により減ってしまった骨は元にもどりませんし、今まで受けてきた歯へのダメージは隠しようがありません。これからこの良い状態を長持ちさせるためには「予防」が重要になってきます。定期的な検診とお口の管理をしていきます。
噛み合わせを治すということは、当然歯並びはもちろん、それ以外のお口の環境もすべて変わってきます。髪の毛1本入ってもわかる繊細なお口の中では環境の変化に戸惑う患者様も少なくありません。いわゆる「リハビリ」も必要なため患者様ご自身の努力も必要です。これからも「かかりつけ歯科医」としてサポートしていきたいと思います。


