歯並びと噛み合わせ
Teeth alignment and bite

宮田歯科三田診療所 医長 冨川です。今年も気付けばあと少し。ほんと1年があっという間に過ぎるようになりました。これっていつ頃からなのだろうか?ちょっと忘れてしまいましたが、以前何かでその理由が載っていたのを覚えています。それによると子供の頃は単純に「初めて目にするものが多いために刺激が多い」からというのもあるみたいですが、一番は「代謝が良い、早い」ことが理由だそうです。
昔からある有名な説明に「ジャネーの法則」というものがありますね。同じ1年でも10歳と60歳とでは人生での比率が10分の1と60分の1でまったく違うため、高齢者はその分、同じ時間でも短く感じるという説明です。けれどこれでは理解できても、何か納得できないようなことありませんか?昔は夏休みなんてホント長く感じていたのに、、、、、。
そこで僕が納得した理由が「代謝」でした。みなさんもご存知の通り子供は平均体温も高く代謝も早いですね。身体の状態が活発であれば心的時計は速く進み、不活発であれば進み方は遅くなる。高齢になると一般に代謝は低下する。そこで心的時計の進み方が鈍り、時間の経過を速く感じるという説明が可能だそうです。
う~ん、なるほど、、、。子供の頃は忙しなく落ち着きがなかった分、物事に対する興味が絶えず時間が過ぎるのも遅かったわけだ。要は熱中しているか、そうでないかってことですね。大人でも趣味やゲームなどに熱中しているときは、時間は非常に短く感じますし、また逆に、講義や授業、バスや電車の待ち時間といった、自分にとって興味のないものをしているときの時間は非常に長く感じますものね。いくつになってもいろいろなことに興味をもって挑戦していきたいですね。僕にとっては今は仕事がそれですね(笑すいません、、、、前振りが長くなってしまいました、、、、、。では最後に少し歯のお話。

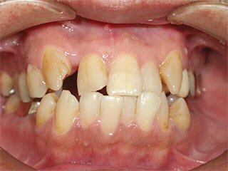
全体的な歯並びの異常により前歯の方がほとんど噛んでないのがわかりますね。逆に奥歯の方だけが噛んでいる状態です。このような状態で長年使用しますと奥歯が負担過重になり、トラブルを引き起こします。現にこの患者様も左下の奥歯は歯の根が割れてしまい抜くことになったそうですが今回さらにその手前の奥歯も根破折の疑いが出てきました。
この状態で奥歯が2本なくなりますと左側ではほとんど歯が接触しないばかりか、インプラントや義歯を作製してもうまくいきません。いろいろな治療法の中から患者様と相談した結果、、、、、、
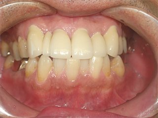
こうなりました。。前歯でもしっかり噛めるようにすることで奥歯に余計な力がかからないようになりました。この状態からなくなった奥歯を補綴していきます。そうすれば義歯やインプラントなども長持ちしますし、他のご自身の歯が再度破折することの予防にもなります。一見奥歯だけの問題に見えるお口の問題、、、、、。実はお口全体の問題に繋がっているんですね。