宮田歯科三田診療所ブログ BLOG 1 minute walk from Akabanebashi Station. A beautiful mouth is a source of confidence.
We protect your dental health with treatments that look ahead 10 to 20 years.

インスタグラムを更新しました!

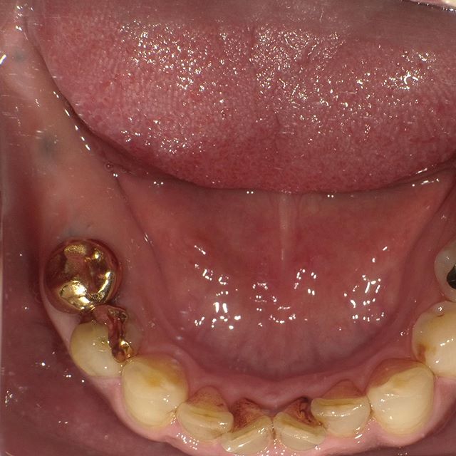
院長の冨川です。今日はインプラント頑張りました〜!入れ歯と比べると違和感も噛み具合も圧倒的に優れているのがインプラントの特徴です。昨今では顎骨が少なくて難しいというケースでも比較的安全に埋入できるようになってきています。やっぱり噛めるようになると若返ります。毎日食べる食事も変わります。しっかり噛める事が全身の免疫、健康増進に直結します。何を食べるかよりも歯周病治療もそうですがお口の中の環境から整えないと元も子もありません。コロナウィルス対策にもなります。皆さんもお口の健康考えてみてはいかがでしょうか🤗#宮田歯科 #港区歯科 #歯科医院 #歯科医師 #歯科衛生士 #虫歯 #虫歯予防 #歯周病 #口腔外科 #審美歯科 #予防歯科 #歯科技工 #ホワイトニング #インプラント #implant #セラミック #セラミック矯正 #メタルボンド #コンポジットレジン #compositeresin #ダイレクトボンディング #directbonding #コーヌス #テレスコープ #telescopedenture #ラシャスリップス #ヒアルロン酸リップ #歯磨き #歯ブラシ #コロナウィルス
インスタグラムを更新しました!
Posted by Intagrate Lite

お気軽にどうぞ CONTACT

24時間WEB予約 お問い合わせ お問い合わせ