宮田歯科三田診療所ブログ BLOG 1 minute walk from Akabanebashi Station. A beautiful mouth is a source of confidence.
We protect your dental health with treatments that look ahead 10 to 20 years.

インスタグラムを更新しました!

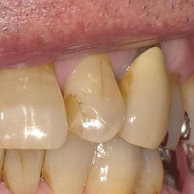
院長の冨川です。今日は保険内診療のCR充填です。。保険治療であっても説明等しっかり行っていきます。#宮田歯科 #港区歯科 #歯科医院 #歯科医師 #歯科衛生士 #虫歯 #虫歯予防 #歯周病 #口腔外科 #審美歯科 #予防歯科 #歯科技工 #ホワイトニング #インプラント #implant #セラミック #セラミック矯正 #メタルボンド #コンポジットレジン #compositeresin #ダイレクトボンディング #directbonding #コーヌス #テレスコープ #telescopedenture #ラシャスリップス #ヒアルロン酸リップ #歯磨き #歯ブラシ #コロナウイルス
インスタグラムを更新しました!
Posted by Intagrate Lite

お気軽にどうぞ CONTACT

24時間WEB予約 お問い合わせ お問い合わせ