インプラントのさまざまな治療法
インプラント治療を成功に導くにはインプラントを適切な位置、深さに埋入することが必要になります。そのためにインプラントを埋入する部位の歯槽骨の十分な幅や量が必要となるのです。
しかし、歯を失ってしまったところの骨量が不足している場合が多くの現状です。このことが原因でインプラントをお断りするケースが過去にはありました。
その場合、インプラント治療が不可能かというとそうではなく、骨量が不足しているところに口の中の他の場所から骨の採取し増やしてあげることや、スペースを新たに作ってあげることでしっかりとインプラントを埋入することが出来ます。
より安全で、より審美的に安定した治療を行うため、当院ではさまざまな治療法をご用意しております。
ボーングラフト(骨移植)
歯が抜けて時間が経過すると、骨は吸収してしまいインプラントを埋入するには高さと幅が不十分になってしまうことがあります。特に上の奥歯や、前歯の場合は骨がやせてしまっているとインプラントができないケースが多々ありましたが、ボーングラフト(骨移植)を行うことによりインプラントが可能になります。
べニアグラフト
上顎の前歯において、唇側の骨が吸収してしまい、インプラントが埋入できないケースががあります。そこでブロック状に採取した自家骨を唇側の骨 にチタン製のスクリューで固定し、骨の幅を増やしていきます。ブロック状の骨は、おとがい部(下顎の前歯の下)や下顎枝(下顎骨の親知らずの奥の部分など)から採取していきます。

サイナスリフト/ソケットリフト
上顎の奥歯の上部には「上顎洞」と言われる大きな空洞があります。 上顎の歯がなくなると骨吸収が進行し、インプラントをするのに十分な骨がなくなってしまう場合が少なくありません。この骨が不足している所の上顎洞底を押し上げてそこに自家骨や骨補填材を入れることによって骨を増やす方法です。
サイナスリフト
上顎の骨が吸収し、上顎洞底部までの骨の厚みが5mm以下と非常に少ない場合に骨の厚みを増すために行う治療法です。上顎洞を覆う粘膜をはがして持ち上げ、上顎の骨との間に隙間を作ります。その後隙間に自家骨、もしくは骨補填材を入れて骨が新たにできるのを待ちます。もとの骨の厚みがある程度あればインプラント手術を同時に行いますが、骨が著しく薄くなっている場合には半年程待って、骨が十分にできてからインプラント手術を行います。

ソケットリフト
上顎洞底部までの骨の厚みが5~8mm程度のときに、骨の厚みを増すために行う治療法です。インプラントを埋入するための穴からソケットリフターという器具を使って上顎洞粘膜を押し上げインプラントを入れる骨の厚みを確保します。
GBR法(骨再生療法)
顎の骨が不足している部分に特殊な膜を使って骨をつくるスペースを確保し骨の再生を促す治療法です。インプラントの手術前に骨をつくってしまう場合もあれば手術と同時に行う場合もあります。

総入れ歯の方へ ~All on 4を用いたインプラント治療法~

入れ歯がガタガタする。固いものがかめない。きちんと発音できない。
つらい入れ歯、あきらめていませんか?
All on 4(オールオンフォー)は総入れ歯をお使いの方や多くの歯をなくした方のための最先端のインプラント治療です。
従来、すべての歯を失った方にインプラント治療を行う場合8~14本のインプラントを埋め込むのが一般的でした。このため手術時間が長くなり術後の腫れも大きく費用がかさむという不安要素がありましたが、この治療法を用いることで少ない腫れで手術当日にインプラントを用いて噛むことが可能となりました。
All on 4(オールオンフォー)は奥のインプラントを骨のある部分へ斜めに埋め込み力を広く均等に配分することにより最小4本(※)のインプラントですべての人工の歯をさせることに成功し、上記のような不安要素を解決することができました。
手術や費用の負担を最低限に抑えた治療法がAll on 4(オールオンフォー)です。
※顎の骨の状態によってはインプラントの本数が多くなることもありますので担当医にご相談ください。
総入れ歯とインプラント(All on 4の比較)
総入れ歯によるトラブル
- 入れ歯と歯茎の間に食べ物が挟まって痛む
- 噛む力を十分にかけられず硬いものを食べることができない
- 歯茎が覆われて食べ物がおいしく感じられない
- 入れ歯が動いて発音しにくく、人と話すのが億劫になる
- 食後に入れ歯をはずして洗ったりするのがイヤで、外出や旅行ができない
All on 4ならこんなに快適
- 食べ物が挟まって痛むことがない
- 顎の骨にしっかりと固定されているため、硬いものも食べることができ、きちんと栄養が取れる
- 天然の歯と変わらない感覚でものを噛んだり、味わうことができる
- 固定されているため、取り外す必要がなく、旅行や外出が楽しめる
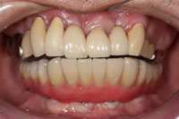
All on 4の治療例
術前

術後
